Anatomie des Welpen
Ein Welpe zieht ein. Ein sicherlich spannendes Ereignis. Beim Beobachten des kleinen Vierbeiners tauchen direkt viele Fragen auf: Wie viel darf sich der Zwerg überhaupt bewegen und worauf muss ich besonders achten? In diesem Artikel spricht Dr. Katrin Voigt über die wichtigsten Punkte, die es für ein gesundes Großwerden zu beachten gilt.
Die Entwicklung des Bewegungsapparates
Knochen sind lebendes Gewebe. Sie reagieren ein Leben lang mit Umbauprozessen bei Beanspruchung. Bei wenig Belastung wird Knochen abgebaut, durch Bewegung hingegen wird Material angelagert. In jüngeren Jahren baut der Körper schneller Knochenmasse auf als im hohen Alter. Eine stetige Belastung ist also entscheidend für die Knochenbildung und -erhaltung. Dabei kommt es aber auf die Art der Bewegung an. Viele kurze Belastungen regen das Knochenwachstum mehr an als lange Belastungen. Sprich: Auf dem Sofa liegen führt zu Knochenabbau.
Bereits im Mutterleib wird das Skelett angelegt. Es besteht aus einer knorpeligen Vorstufe, die aber durchaus Ähnlichkeit mit dem späteren Skelett des Tieres hat. Schauen wir uns die Verknöcherung anhand der langen Röhrenknochen einmal an. Sie beginnt ca. in der Mitte des Knochens. Die erste Knochenstruktur formt sich wie ein Mantel um das Knorpelgewebe und breitet sich von der Mitte zu den Enden aus. Der knöcherne Mantel ist starr, die Knorpelzellen können nicht mehr wahllos wachsen, sondern werden in eine Richtung gezwängt: das Längenwachstum. Nach und nach wird das Knorpelgewebe durch Knochen ersetzt. Es bleiben nur noch die sogenannten Wachstumsfugen übrig, jeweils an den Enden des Röhrenknochens. Hier befindet sich nach wie vor knorpeliges Gewebe und ermöglicht ein Längenwachstum bis ins jugendliche Alter des Hundes. In den ersten sechs bis sieben Lebensmonaten findet 90 % des Längenwachstums statt. Mit dem Schluss der Wachstumsfuge ist das Längenwachstum abgeschlossen. Durch Anlagerung von außen kann aber ein Leben lang das Dickenwachstum stattfinden.
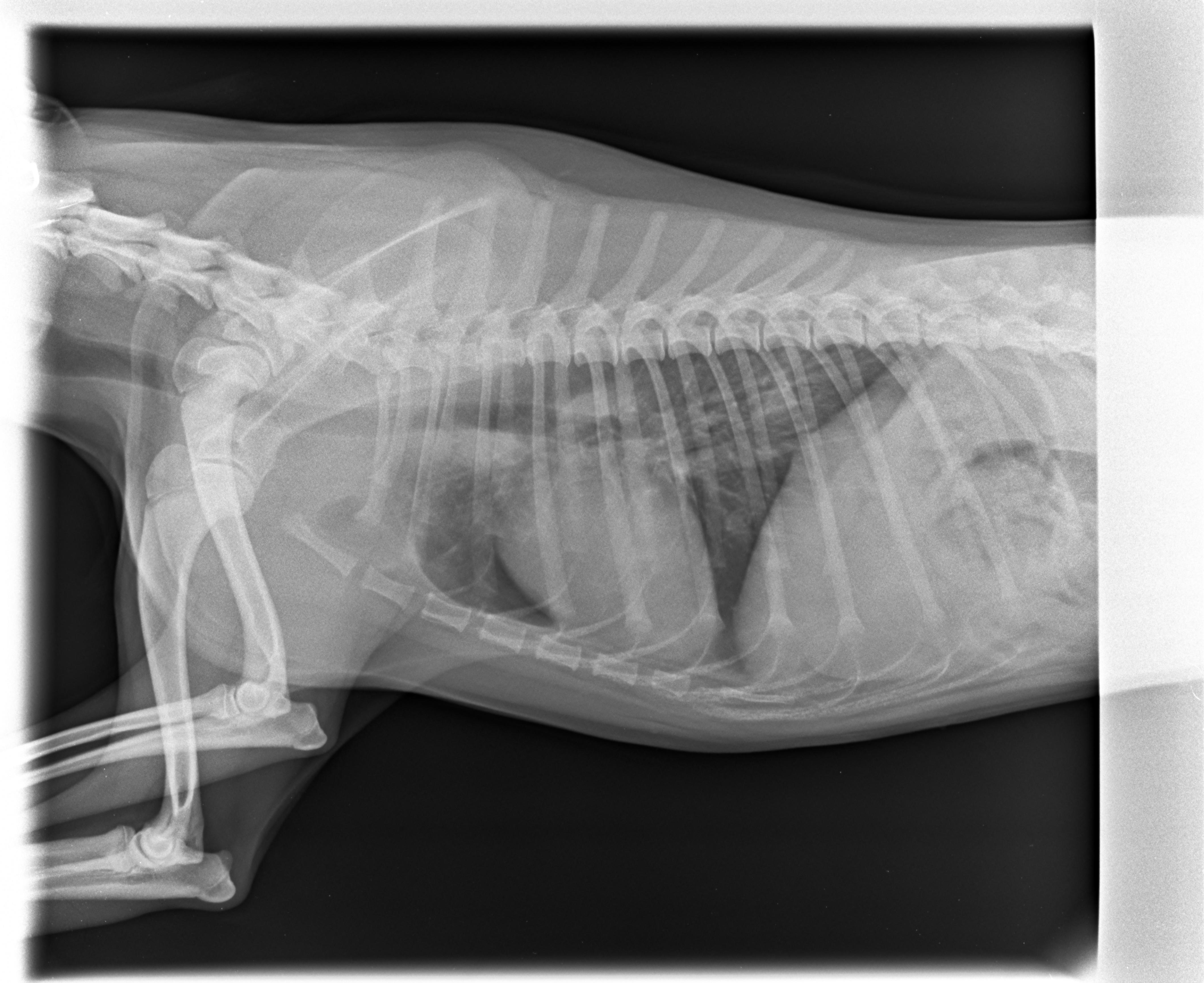
Das Röntgenbild eines 5 Monate alten Hundes. Die Wachstumsfugen, hier am Ellbogen zu sehen, schließen sich beim jungen Hund nicht gleichmäßig. Sie sind die Schwachstellen des Knochens. Foto: Sonja SchmittDie Wachstumsfugen sind also die Schwachstelle des Knochens beim jugendlichen Hund. Stauchungen und Frakturen innerhalb der Wachstumsfuge haben dramatische Auswirkungen. Die Wachstumsfugen schließen sich nicht gleichmäßig, Es ist ein langwieriger Prozess, der je nach Körpergröße früher oder später abgeschlossen ist. Bei einem großen Hund kann dieser Prozess bis zum 12. Lebensmonat dauern.
Der Bewegungsapparat besteht aber nicht nur aus Knochen. Es gehört auch der Muskel-, Sehnen- und Bandapparat dazu. Der entwickelt sich leider nicht parallel mit dem Knochen. Die Muskulatur benötigt ca. weitere 6 Monate, um die Belastungen, die auf das knöcherne Skelett wirken, abfedern und ausgleichen zu können. Kurzum: Der Bewegungsapparat des jungen Hundes will mit Vorsicht behandelt werden!
Welche Art von Bewegungen darf mein Welpe haben?
Im Prinzip ist es ganz einfach: Aktivitäts- und Ruhephasen sollten sich abwechseln und ich als Bezugsperson muss meinen Welpen gut beobachten: Wann zeigt er Ermüdungserscheinungen? Setzt er sich häufiger hin? Rufen Sie Ihren Welpen aus dem Spiel mit dem Artgenossen häufiger mal raus und lassen Sie ihn ein paar Sekunden Pause machen. Will er wirklich wieder ins Spiel oder legt er sich zufrieden hin und nimmt sich eine Pause? Apropos Spiel: Hier ist darauf zu achten, dass das Spiel ausgewogen ist und die Spielpartner passend gewählt werden. Rempeln und über den Haufen rennen sollten vermieden werden. Denken Sie daran: Ist die Muskulatur ermüdet, ist das Verletzungsrisiko weitaus größer für die noch instabilen Knochen! Auch im Spiel mit uns sollten einige Regeln beachtet werden. Statt den Ball weit zu schmeißen, ist ein Kegeln über den Boden sicherlich sinnvoller.
Mythos Treppenlaufen: ja oder nein?
Ein klares Jein! Auch hier gilt: Gegen kontrolliertes Treppenlaufen ist wenig einzuwenden. Ein Hoch- und Runterpoltern birgt aber eine Gefahr für die noch instabilen Knochen. Flache Stufen sind hier weniger das Problem als steile, hohe Treppen. An diesen sollten Sie Ihren Welpen erst einmal tragen. Kleine Treppen können angeleint in langsamem Tempo durchaus bewältigt werden.
Mythos 5-min-Regel
Es gibt eine Empfehlung, dass man pro Lebensmonat 5 Minuten mit dem Hund Gassi gehen darf. Sprich: Ein 12 Wochen alter Welpe dürfte demnach max. 15 Minuten Gassi gehen. Ist dem wirklich so? Gassi ist ja nicht gleich Gassi. Gestalte ich den Spaziergang so, dass es regelmäßige Pausen gibt und aus dem Spaziergang für den Welpen eher eine Sightseeing-Tour wird, dann ist durchaus eine längere Verweildauer unterwegs möglich. Auch hier gilt: Beobachten Sie Ihren Welpen gut. Kommt er noch freudig mit oder zeigt er Ermüdungserscheinungen? Regelmäßige Pausen helfen, dies einzuschätzen. Legt er sich in der Pause sofort hin, dann gehe ich lieber wieder nach Hause und mache die nächste Runde etwas kürzer. Qualitätszeit draußen geht unbedingt vor Strecke!
Sportliche Aktivitäten mit dem Hund – wann darf ich loslegen?
Sie möchten mit Ihrem Hund joggen gehen oder Agility machen? Dann sollte unbedingt der Schluss der Wachstumsfugen abgewartet werden! Denken Sie daran, dass Sie den Hund langsam an die neue Belastung gewöhnen. Denn die Muskulatur ist ja noch lange nicht ausgereift. Zudem empfiehlt sich gerade bei den großen Hunden ein zeitiges Röntgen der großen Gelenke: Hüfte, Knie, Schulter und Ellbogen. So können Sie sicher sein, dass einer sportlichen Karriere nichts im Wege steht – zumindest was den Bewegungsapparat angeht!
